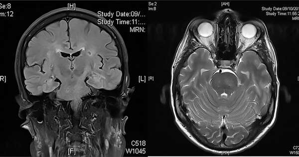
La Nación / Encefalopatía hipertensiva, una de las formas más graves de la presión alta

La encefalopatía hipertensiva se caracteriza por cefalea, trastornos visuales y alteraciones del sensorio. Foto: Ilustrativa ...[Leer más]



Moopio.com no es responsable por las acciones de los sitios web de terceros ni por el contenido que estos publiquen. Las noticias y artículos a los que se enlaza desde este sitio son propiedad y responsabilidad de los autores y editores originales. No tenemos control sobre la veracidad, precisión, o legalidad de la información contenida en estos sitios. Más informacion en Términos de Servicio.


Compartir en Facebook Compartir en Twitter Compartir en Whatsapp Noticias Populares Últimas Noticias
Digital Misiones Digital Misiones
Conductor murió en accidente, su perro se salvó y permaneció a su lado
Un accidente fatal ocurrió esta madrugada sobre la Avda. Fernando de la Mora, donde un vehículo fue embestido en la parte lateral. El ocupante quedó atrapado y falleció. Su mascota sobrevivió y no… [Leer más]

Febrero 28, 2026
Diario UltimaHora Diario UltimaHora
Accidente aéreo en Bolivia: Un Hércules impacta cerca del aeropuerto de El Alto
Un avión militar de carga se precipitó este viernes cerca del aeropuerto internacional de la ciudad de El Alto, la segunda más poblada de Bolivia, cuando se disponía a aterrizar, dejando una cantidad de heridos por ahora no confirmada oficialmente y da... [Leer más]

Febrero 27, 2026
Diario UltimaHora Diario UltimaHora
Medida cautelar prohíbe publicar imágenes y videos de fiesta de 15 años de la hija de Gobernadora
El Juzgado de la Niñez y la Adolescencia, mediante una medida cautelar, prohibió la publicación de videos e imágenes de la fiesta de 15 años de la hija de la gobernadora de Concepción, Liz Meza, que será este fin de semana. [Leer más]

Febrero 27, 2026
Diario UltimaHora Diario UltimaHora
Multa por conducir fumando o tomando tereré llega a más de G. 1.000.000
La Patrulla Caminera insiste en el uso de ambas manos al volante y recomienda evitar manipulación de objetos mientras se conduce para no desviar la atención. [Leer más]

Febrero 27, 2026
Noticiero Paraguay Noticiero Paraguay
Alliana califica de hipócrita el mensaje de Abdo sobre salud de Cartes - Noticiero Paraguay
Nacionales - El vicepresidente de la República no cree una sola palabra del mensaje publicado en redes sociales por Mario Abdo Benítez, deseando una pronta Noticiero Paraguay [Leer más]

Febrero 27, 2026
Diario HOY Diario HOY
Diario HOY | Nueva ley antimotochorros: buscan prohibir el casco que cubre totalmente el rostro
Un proyecto de ley presentado en la Cámara de Diputados propone delimitar el uso obligatorio del casco integral envolvente (cascos que cubren totalmente el rostro) en zonas urbanas. [Leer más]

Febrero 27, 2026
Diario UltimaHora Diario UltimaHora
La pequeña Bianca aguarda por un nuevo corazón: "Es una niña llena de vida que irradia luz"
La niña Bianca Sofía Balbuena Roldán de dos años fue diagnosticada con miocardiopatía congénita en noviembre de 2023 y su estado de salud se encuentra delicado. Su madre apela a la solidaridad de la ciudadanía y la concienciación sobre la importancia d... [Leer más]

Febrero 27, 2026
Diario ABC Diario ABC
Ordenan suspensión urgente de fármaco para bajar de peso tras grave cuadro de salud en Alto Paraná - Nacionales - ABC Color
La justicia ordenó la suspensión urgente de la venta del fármaco “T.G - Tirzepatida”, de Laboratorios Indufar, tras la denuncia de un hombre que sufrió pancreatitis aguda e hipoglucemia severa. El fallo exige a Dinavisa auditar la seguridad del product... [Leer más]

Febrero 27, 2026
Diario ABC Diario ABC
Recuperan cinco notebooks  robadas de un colegio de Mariano Roque Alonso - Policiales - ABC Color
Al menos cinco notebooks, una consola de sonidos y un maletín cargado con micrófonos y cables robados de un colegio de Mariano Roque Alonso, fueron recuperados en apenas dos horas por efectivos de la comisaría local, la 10ª. [Leer más]

Febrero 27, 2026
Diario UltimaHora Diario UltimaHora
Enorme piedra cae de un camión y mata a joven ingeniero en Trinidad
Una piedra que estaba siendo transportada a bordo de un camión de gran porte terminó impactando contra el parabrisas de una camioneta y fue a parar por el rostro de un joven ingeniero que falleció tras el fuerte golpe. Sucedió en Trinidad, Departamento... [Leer más]

Febrero 27, 2026
Noticias Populares Últimas Noticias