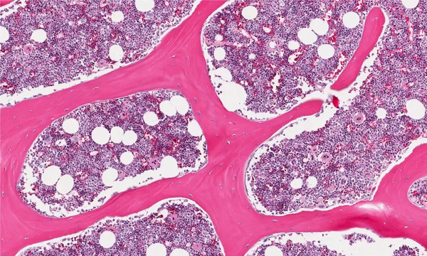
Científicos crean la primera médula ósea humana en laboratorio y abren una nueva era contra el cáncer - OviedoPress

Científicos de la Universidad y Hospital Universitario de Basilea (Suiza) lograron un hito sin precedentes en la biomedicina: la creación del primer modelo de médula ósea 100 % humana cultivada íntegramente en laboratorio. El pequeño órgano artificial, de apenas 8 milímetros, reproduce con notable fidelidad el entorno donde nacen y se desarrollan las células madre sanguíneas, y es capaz de producir células de la sangre durante varias semanas, un avance que promete transformar el estudio y tratamiento de diversos cánceres hematológicos. El proyecto, liderado por el italiano Ivan Martin y el investigador español Andrés García-García, fue publicado en noviembre de… ...[Leer más]



Moopio.com no es responsable por las acciones de los sitios web de terceros ni por el contenido que estos publiquen. Las noticias y artículos a los que se enlaza desde este sitio son propiedad y responsabilidad de los autores y editores originales. No tenemos control sobre la veracidad, precisión, o legalidad de la información contenida en estos sitios. Más informacion en Términos de Servicio.


Compartir en Facebook Compartir en Twitter Compartir en Whatsapp Noticias Populares Últimas Noticias
OviedoPress OviedoPress
ANDE corta energía a la ESSAP por millonaria deuda - OviedoPress
La Empresa de Servicios Sanitarios del Paraguay (ESSAP) quedó sin energía eléctrica luego de que la Administración Nacional de Electricidad (ANDE) procediera al corte del servicio por falta de pago. La medida se aplicó tras varios meses de notificacion... [Leer más]

Noviembre 19, 2025
Itapua Noticias Itapua Noticias
ATROPELLADA POR MOTOCICLISTA QUE HACÍA “WILLY” NECESITA PRÓTESIS
LA JOVEN ES HUÉRFANA, DEPENDE DE SUS TÍAS Y AHORA QUEDÓ POSTRADA EN UNA CAMA. [Leer más]

Noviembre 19, 2025
Itapua Noticias Itapua Noticias
FREDDY ORTEGA PIDE LA NULIDAD DEL CONTRATO DE ESTACIONAMIENTO MEDIDO EN ENCARNACIÓN
POR LO PRONTO LA JUNTA MUNICIPAL APROBÓ UNA MINUTA PARA SUSPENDER EL COBRO EN DICIEMBRE [Leer más]

Noviembre 19, 2025
Diario ABC Diario ABC
Usaron becas del Gobierno para financiar postgrados de mimados del MEC - Nacionales - ABC Color
Las Becas del Gobierno del Paraguay, que deben destinarse a la educación superior de jóvenes brillantes, se están utilizando por el MEC para financiar postgrados por G. 1.650 millones para directores con cargos de confianza, incluida la directora de Be... [Leer más]

Noviembre 19, 2025    Nacionales
Diario UltimaHora Diario UltimaHora
Brutal ataque de perros deja muertas 29 ovejas de raza en una estancia de Misiones
Veintinueve ovejas murieron tras un brutal ataque de perros en un establecimiento rural de Santa Rosa, Departamento de Misiones. Los animales, criados con cuidado especial desde hacía cinco años, contaban con registro puro de pedigrí. [Leer más]

Noviembre 19, 2025
Diario ABC Diario ABC
Precariedad en Ineram: diputado pide convocar al doctor Morínigo  - Política - ABC Color
El diputado Adrián “Billy” Vaesken (PLRA) solicitó a la Comisión de Cuentas y Control a que convoque al doctor Carlos Morínigo, quien denunció falta de insumos básicos y alimentación precaria para pacientes del Instituto Nacional de Enfermedades Respir... [Leer más]

Noviembre 19, 2025    Politica
Diario HOY Diario HOY
Diario HOY | Paloma Ferreira invita a su perfil en OnlyFans: “Soy adictiva”
Paloma Ferreira arribó a OnlyFans. La exconductora de Tv invita al público a suscribirse y ver una versión suya más “salvaje”. [Leer más]

Noviembre 19, 2025    Espectaculos
Diario La Nación Diario La Nación
La Nación / A días del concierto de Shakira en Paraguay, murió expresidente de su club de fans
El expresidente del club de fans de Shakira en Paraguay, Álbaro Melo, falleció inesperadamente, según informó este miércoles la cuenta de Instagram Shakira Paraguay. Este joven fue desvinculado del club de fans de La Loca, por supuestas estafas a los p... [Leer más]

Noviembre 19, 2025    Espectaculos
Diario ABC Diario ABC
“Queremos un turismo más robustecido”, señala el intendente de Ciudad del Este - Política - ABC Color
El intendente de Ciudad del Este, Daniel Pereira Mujica, señaló que en el 2026 trabajaran en obras menores, pero que al siguiente año apostarán a desafíos más grandes con un mejor presupuesto. Comentó que la intención es que el microcentro abra de noch... [Leer más]

Noviembre 19, 2025    Politica
Diario ABC Diario ABC
Video: denuncian a Celeste Amarilla por supuesto choque y fuga - Nacionales - ABC Color
Un conductor denunció que supuestamente la senadora Celeste Amarilla chocó su vehículo durante un percance en el tránsito. En un video que quedó registrado, se ve que la persona que sería Celeste Amarilla hace gestos obscenos al conductor que la filmó. [Leer más]

Noviembre 19, 2025    Nacionales
Noticias Populares Últimas Noticias