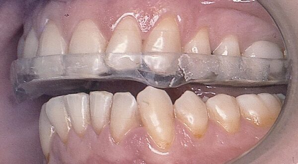
Expertos advierten de que el bruxismo puede manifestarse con mayor frecuencia en enero debido al estrés

Según el Estudio Sanitas de Salud Bucodental 2025, casi 2 de cada 10 personas en España (17,4%) padeció bruxismo durante 2024. Este dato, destacan los expertos, pone de relieve la magnitud de una afección que, en muchos casos, permanece sin diagnosticar. ...[Leer más]



Moopio.com no es responsable por las acciones de los sitios web de terceros ni por el contenido que estos publiquen. Las noticias y artículos a los que se enlaza desde este sitio son propiedad y responsabilidad de los autores y editores originales. No tenemos control sobre la veracidad, precisión, o legalidad de la información contenida en estos sitios. Más informacion en Términos de Servicio.


Compartir en Facebook Compartir en Twitter Compartir en Whatsapp Noticias Populares Últimas Noticias
Diario ABC Diario ABC
Pérez Hoyos: dinero y falta de voluntad política impiden saber quién ordenó matar a Pecci - Política - ABC Color
Andrés Felipe Pérez Hoyos, cerebro operativo del crimen de Marcelo Pecci, reveló que una organización criminal marcó al fiscal paraguayo Marcelo Pecci. Indicó que en cualquier parte del mundo iban a buscar la forma de eliminarlo y aseguró que la verdad... [Leer más]

Enero 29, 2026    Politica
Itapua Noticias Itapua Noticias
CANELA RECIBIRÁ UNA PRÓTESIS MANDIBULAR Y SERÁ LA PRIMERA EN PARAGUAY
Un hecho histórico para la medicina veterinaria se logra con la prótesis mandibular que será colocada a la perrita Canela, víctima de la explosión de petardo en Areguá. [Leer más]

Enero 29, 2026
Diario ABC Diario ABC
Con una garrafa de 13 kilos corrieron a banda de asaltantes en Lambaré - Policiales - ABC Color
Una banda conformada por cuatro hombres asaltó a balazos hoy a dos repartidores de una empresa de lácteos que estaban bajando mercaderías en un autoservice de Lambaré. Un empleado del negocio arrojó una garrafa de 13 kilos contra el vehículo de los ma... [Leer más]

Enero 29, 2026
Telefuturo Telefuturo
¡Nadia Ferreira y Marc Anthony esperan su segundo hijo juntos!
La pareja anunció el embarazo justo en su tercer aniversario de bodas, compartiendo una emotiva foto en familia. [Leer más]

Enero 29, 2026
Diario HOY Diario HOY
Diario HOY | Canela recibirá una prótesis mandibular y será la primera en Paraguay
Un hecho histórico para la medicina veterinaria se logra con la prótesis mandibular que será colocada a la perrita Canela, víctima de la explosión de petardo en Areguá. [Leer más]

Enero 29, 2026    Nacionales
Diario UltimaHora Diario UltimaHora
20 paraguayos fueron deportados de EEUU en el primer año de gobierno de Donald Trump
Desde el inicio del segundo mandato del presidente Donald Trump, 20 paraguayos fueron deportados del territorio de Estados Unidos por cuestiones migratorias, confirmaron desde Migraciones. [Leer más]

Enero 29, 2026
Diario EXTRA Diario EXTRA
Familia paraguaya deja Argentina por presión
Están deportando a los extranjeros ilegales. Unos compatriotas no pudieron renovar su DNI definitivo. [Leer más]

Enero 29, 2026    Nacionales
Unicanal Unicanal
Jefe médico de IPS confirma fallas en equipo técnico tras la muerte de Braulio | Unicanal
El gerente de Salud del IPS confirmó que los equipos de cateterismo presentaron fallas, que retrasaron la cirugía del compañero Braulio. [Leer más]

Enero 29, 2026    Nacionales
Trece Trece
Tras fallecimiento de Braulio, autoridades del IPS confirman falla en equipo de cateterismo - trece
Autoridades del IPS anunciaron el inicio de una investigación tras la muerte del compañero Braulio Vázquez. [Leer más]

Enero 29, 2026    Nacionales
Diario ABC Diario ABC
Piden prisión preventiva para joven detenido con droga en Carapeguá - Nacionales - ABC Color
Un joven de 24 años fue imputado en Carapeguá por tenencia y presunta comercialización de sustancias prohibidas. Su detención se produjo en la vía pública durante un patrullaje preventivo realizado por efectivos policiales en el barrio Santo Domingo. D... [Leer más]

Enero 29, 2026    Nacionales
Noticias Populares Últimas Noticias