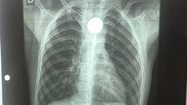
Carlos Morínigo se ofrece a capacitar al personal de blanco del Chaco tras caso de niño con moneda atascada

Un nuevo caso de emergencia pediátrica en el interior del país volvió a poner de manifiesto la necesidad de descentralizar la atención médica especializada, ante lo cual el doctor Carlos Morínigo se ofreció a capacitar al personal de blanco. ...[Leer más]



Moopio.com no es responsable por las acciones de los sitios web de terceros ni por el contenido que estos publiquen. Las noticias y artículos a los que se enlaza desde este sitio son propiedad y responsabilidad de los autores y editores originales. No tenemos control sobre la veracidad, precisión, o legalidad de la información contenida en estos sitios. Más informacion en Términos de Servicio.


Compartir en Facebook Compartir en Twitter Compartir en Whatsapp Noticias Populares Últimas Noticias
Diario UltimaHora Diario UltimaHora
La primera mujer arzobispa de la historia de la Iglesia anglicana, entronizada en Canterbury
La primera mujer nombrada arzobispa de la Iglesia anglicana, Sarah Mullally, fue entronizada este miércoles en la iglesia de Canterbury, cuna espiritual del cristianismo en Inglaterra, en una ceremonia que quiso resaltar el carácter universal de una co... [Leer más]

Marzo 25, 2026
Diario UltimaHora Diario UltimaHora
Fallece el ex ministro del TSJE, Alberto Ramírez Zambonini
El ex ministro del Tribunal Superior de Justicia Electoral (TSJE), Alberto Ramírez Zambonini, falleció en la noche de este miércoles, según informaron allegados y autoridades del Partido Liberal Radical Auténtico (PLRA). Zambonini había dejado el cargo... [Leer más]

Marzo 25, 2026
Diario La Nación Diario La Nación
La Nación / Ñemby: paciente con leucemia necesita ayuda para comprar costoso medicamento y recibir un trasplante
Katherine es madre de tres pequeños y requiere de un medicamento cuyo valor es de 20.000 dólares para acceder al procedimiento. [Leer más]

Marzo 25, 2026    Nacionales
Diario ABC Diario ABC
Plantean bajar a los bancos las comisiones por tarjetas y dar POS gratis   - Política - ABC Color
Senadores disidentes liderados por Lilian Samaniego (ANR) plantean prohibir que los bancos cobren a los comercios por el uso de los aparatos POS para pagos con tarjetas. Así también, buscan bajar el porcentaje máximo de las comisiones que reciben las ... [Leer más]

Marzo 25, 2026    Politica
Diario UltimaHora Diario UltimaHora
Paraguay se abstuvo ante la ONU de declarar a la esclavitud como el "crimen más grave contra la humanidad"
Con el respaldo de la mayoría de los Estados miembros (123 países) de la ONU se declaró la esclavitud africana como el "crimen más grave contra la humanidad", propuesta por Ghana. En tanto, Estados Unidos, Israel y Argentina rechazaron la resolución, m... [Leer más]

Marzo 25, 2026
Diario ABC Diario ABC
Paraguay se abstuvo en declarar la esclavitud como el “peor crimen” de la historia - Mundo - ABC Color
En un hecho sin precedentes, la Asamblea General de la ONU calificó la trata de esclavos como el crimen de lesa humanidad más grave de la historia. Por su parte, Paraguay optó por la abstención, alejándose de sus aliados clave como Estados Unidos, Isra... [Leer más]

Marzo 25, 2026    Internacionales
Diario UltimaHora Diario UltimaHora
Docente recupera dinero de un embargo, pero todavía falta que le devuelvan G. 96 millones
La docente Liz Prieto –víctima de la mafia de los pagarés– por segunda vez logra recuperar el dinero de una de las demandas en su contra, donde se le venía descontando desde el 2018. Esta vez se le devolvió G. 3.300.000, que se suma a otro monto simila... [Leer más]

Marzo 25, 2026
Diario UltimaHora Diario UltimaHora
Aplicarán dosis antiinfluenza después de la Semana Santa
Desde el Ministerio de Salud informaron que entre este fin de semana y los siguientes días estará arribando la primera partida de las vacunas contra la influenza. [Leer más]

Marzo 25, 2026
Diario UltimaHora Diario UltimaHora
En medio de críticas a su Gobierno y paro de buses: ¿Peña huyó de la prensa?
Como si no pasara nada en el país, el presidente de la República, Santiago Peña, huyó de la prensa, luego de dar un discurso y hacer chipa en la explanada del Palacio de López, durante una feria de agricultura familiar. El mandatario no se dignó a resp... [Leer más]

Marzo 25, 2026
Diario EXTRA Diario EXTRA
Dramático pedido de rescate para 6 peones indígenas abandonados por su patrón
Fueron contratados para trabajar en la Estancia María Auxiliadora, nadie les pagó un solo guaraní. [Leer más]

Marzo 25, 2026    Nacionales
Noticias Populares Últimas Noticias