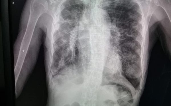
Hospital Regional de CDE realiza radiografía digital

Con esta nueva tecnología, el centro asistencial de referencia de Alto Paraná ofrece servicio de mayor precisión y rapidez para usuarios. Con la adquisición de un digitalizador de Rayos X, se suprime el uso de productos químicos para el revelado. Con esto, se estima que serán beneficiados unos 50 pacientes por día aproximadamente que requieren […] ...[Leer más]



Moopio.com no es responsable por las acciones de los sitios web de terceros ni por el contenido que estos publiquen. Las noticias y artículos a los que se enlaza desde este sitio son propiedad y responsabilidad de los autores y editores originales. No tenemos control sobre la veracidad, precisión, o legalidad de la información contenida en estos sitios. Más informacion en Términos de Servicio.


Compartir en Facebook Compartir en Twitter Compartir en Whatsapp Noticias Populares Últimas Noticias
Diario ABC Diario ABC
Trasladan al Chaco a fiscala tras intento de desestimar causa contra exintendenta y actual intendente de Paraguarí - Nacionales - ABC Color
PARAGUARÍ. La fiscal de la Unidad Penal Nº 1 de este distrito, Milena Raquel Basualdo Osorio, fue trasladada a Filadelfia, departamento de Boquerón, luego de intentar cerrar una causa por un presunto hecho punible de lesión de confianza por un monto ap... [Leer más]

Febrero 10, 2026    Nacionales
Luque Noticias Luque Noticias
Docentes celebran postergación de reforma de la Caja Fiscal •
Al unísono grito ¡Voto castigo!, los docentes llegaron frente al MEC tras una multitudinaria marcha de los gremios que protestan contra la reforma de la Caja Fiscal. El Senado postergó el estudio de la reforma hasta el próximo 25 de marzo. Muchos educa... [Leer más]

Febrero 10, 2026
Diario ABC Diario ABC
Policías solicitan en masa su retiro en medio del debate sobre la caja fiscal - Policiales - ABC Color
Más de 200 efectivos ya solicitaron su pase a retiro en lo que va del año, una cifra inédita que supera ampliamente los registros de años anteriores, según confirmó la Policía Nacional. Este fenómeno se da en medio de la discusión por la reforma de la ... [Leer más]

Febrero 10, 2026
SanLorenzoPY SanLorenzoPY
La sirena que despertó a varias generaciones de sanlorenzanos » San Lorenzo PY
Un sonido que marcó entradas, recreos y recuerdos — y que merece ser patrimonio de San Lorenzo del Campo Grande Casi nadie que haya crecido en San Lorenzo olvida ese zumbido que recorría la ciudad. Más que un simple aviso, la sirena ubicada en los Tall... [Leer más]

Febrero 10, 2026
Luque Noticias Luque Noticias
Junta adjudica compra de “carro eléctrico” por G. 375 millones •
La Junta Municipal de Luque aprobó este martes la cuestionada adjudicación para autorizar a la Municipalidad de Luque la compra del carro eléctrico, solicitado por el intendente Carlos Echeverría, para la Dirección de Gabinete, a cargo de la odontóloga... [Leer más]

Febrero 10, 2026
Diario UltimaHora Diario UltimaHora
Víctima de barrera policial irregular ya fue asaltada por policías el año pasado
El hombre que decidió escapar de una barrera policial, presuntamente irregular, ya fue asaltado en marzo del 2025 por agentes de Investigaciones, según una denuncia anterior. El hombre contaba con antecedentes por un caso de homicidio culposo, por lo q... [Leer más]

Febrero 10, 2026
Diario ABC Diario ABC
Video: polémica barrera policial en Caaguazú fue informada a la Fiscalía, dice comisario - Policiales - ABC Color
El director de Hechos Punibles, Comisario Javier Flores, indicó que los oficiales montaron esa barrera luego de recibir la información de que iba una persona con antecedentes por homicidio. Expresó que la barrera fue preventiva y en el lugar estaba un ... [Leer más]

Febrero 10, 2026
Diario ABC Diario ABC
Santi Peña “bendijo” a Jorge Brítez y todo sigue igual en IPS - Nacionales - ABC Color
Pese a la indignación de los asegurados por las carencias en los hospitales del seguro social, que incluso se cobraron la vida de un paciente que pasó días esperando un cateterismo por falta de equipos biomédicos, Santiago Peña dio su “bendición” al pr... [Leer más]

Febrero 10, 2026    Nacionales
Diario ABC Diario ABC
Matan a balazos a sojero brasiguayo y a su empleado en Corpus Christi - Policiales - ABC Color
Un sojero brasiguayo y uno de sus empleados fueron emboscados y asesinados a tiros esta tarde cuando recorrían un cultivo instalado en la comunidad indígena Cerro Pytã, distrito de Corpus Christi, departamento de Canindeyú. El atentado ocurrió en la ... [Leer más]

Febrero 10, 2026
Diario ABC Diario ABC
Paraguay sigue entre los países más corruptos, según ránking internacional - Política - ABC Color
El reconocido Índice de Percepción de la Corrupción (IPC) 2025 ubica a Paraguay en el puesto 150 de 182 naciones -en escala de menor a mayor-, con uno de los peores desempeños de la región. Destaca además que el país no obtuvo mejoras contra la corrupc... [Leer más]

Febrero 10, 2026    Politica
Noticias Populares Últimas Noticias