Crean inteligencia artificial que detecta el Alzheimer con 90% de precisión | OnLivePy

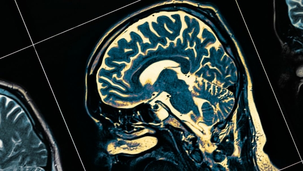
Un grupo de investigadores del Hospital General de Massachusetts desarrolló un modelo de inteligencia artificial capaz de identificar con más del 90% de precisión a personas que padecen Alzheimer, una enfermedad que deteriora la memoria y otras funciones del cerebro de manera progresiva a lo largo de los años. El equipo, liderado por el doctor Matthew Leming, creó un sistema llamado MUCRAN (Multi-Confound ...[Leer más]



Moopio.com no es responsable por las acciones de los sitios web de terceros ni por el contenido que estos publiquen. Las noticias y artículos a los que se enlaza desde este sitio son propiedad y responsabilidad de los autores y editores originales. No tenemos control sobre la veracidad, precisión, o legalidad de la información contenida en estos sitios. Más informacion en Términos de Servicio.


Compartir en Facebook Compartir en Twitter Compartir en Whatsapp Noticias Populares Últimas Noticias
Diario UltimaHora Diario UltimaHora
Preocupa al SPP falta de interés de actores políticos hacia proyecto de protección a periodistas
El Sindicato de Periodistas del Paraguay (SPP) lamentó la postergación del tratamiento del proyecto de ley de Protección a Periodistas y Personas Defensoras de Derechos Humanos en la Cámara de Senadores. [Leer más]

Octubre 15, 2025
OviedoPress OviedoPress
Rescatan a menores ingresadas a la "privada" en la Penitenciaría Regional de Coronel Oviedo - OviedoPress
Denuncian una situación sumamente sensible que se habría registrado este miércoles 15 de octubre, en la Penitenciaría Regional de Coronel Oviedo, el aparente ingreso de dos mujeres adolescentes, de entre 15 y 17 años, al sector de visitas conyugales, c... [Leer más]

Octubre 15, 2025
Versus Versus
Versus / ¡Inédito! Olimpia vestirá de celeste en el clásico en Barrio Obrero
Algo nunca antes visto tendrá el último superclásico del año, a disputarse el próximo domingo desde las 17:30 en La Nueva Olla. La gran novedad proviene de Olimpia, que decidió no vestir de blanco y negro, sus colores tradicionales, en su visita a Barr... [Leer más]

Octubre 15, 2025    Deportes
Diario La Nación Diario La Nación
La Nación / Planes de Trump incluyen atacar por tierra cárteles de Venezuela
El presidente de Estados Unidos, Donald Trump, dijo el miércoles que considera atacar en tierra a cárteles de Venezuela, luego de una serie de golpes mortíferos en altamar contra supuestas lanzas del narcotráfico. [Leer más]

Octubre 15, 2025    Internacionales
Diario UltimaHora Diario UltimaHora
Niña de 3 años traga un silbato: “Cuando se reía silbaba, se convirtió en trompeta”, dice médico
Una niña de 3 años fue intervenida quirúrgicamente en el Instituto Nacional de Enfermedades Respiratorias y del Ambiente Prof. Dr. Juan Max Boettner luego de tragar un silbato durante un festejo de cumpleaños en Santa Rosa del Aguaray, Departamento de ... [Leer más]

Octubre 15, 2025
Diario UltimaHora Diario UltimaHora
“Nosotros nomas tenemos que ser los justicieros”, dicen amigos de supuesto delincuente fallecido
A través de un live en la plataforma de Tiktok unos jóvenes conversaban sobre hacer justicia tras el homicidio del supuesto delincuente quien falleció apuñalado por un motobolt en Luque, Departamento Central. [Leer más]

Octubre 15, 2025
Concepción al Día Concepción al Día
Localizan a la paraguaya reportada como desaparecida en Turquía - Concepción al Día
Tras varios días de preocupación, se confirmó que María Lourdes Alfonso Añazco, oriunda de Yby Yaú, departamento de Concepción, fue encontrada con vida en Turquía, luego de haber sido denunciada como desaparecida en Europa. De acuerdo con la informació... [Leer más]

Octubre 15, 2025
Telefuturo Telefuturo
¡Cuidado! Presuntos tarotistas estafan a clientes
El Departamento Antisecuestros de Personas de la Policía Nacional emitió una advertencia sobre una creciente modalidad de extorsión que opera a través de ofertas de servicios esotéricos, conocidos popularmente como "amarres". [Leer más]

Octubre 15, 2025
Diario La Nación Diario La Nación
La Nación / Leite se reúne con senador Kaine, político representativo del Partido Demócrata
El embajador paraguayo ante el gobierno de Estados Unidos, Gustavo Leite, mantuvo una reunión de trabajo con el senador Tim Kaine, uno de los miembros más representativos y de mayor trayectoria del Partido Demócrata. [Leer más]

Octubre 15, 2025    Politica
Diario ABC Diario ABC
Incidente con dron de Jaeggli en el Cente: exsenador ahora culpa a su “colaborador” del hecho - Nacionales - ABC Color
Mediante una nota escrita, el exsenador del Partido Liberal Radical Auténtico (PLRA), Luis Alfredo Jeggli Caballero, contestó el pedido realizado por una jueza de instrucción del Club Centenario de Asunción, donde es sumariado por haber arrojado flyers... [Leer más]

Octubre 15, 2025    Nacionales
Noticias Populares Últimas Noticias